손저림은 많은 사람들이 한 번쯤 경험하는 흔한 증상 중 하나입니다. 손저림은 일시적인 불편함으로 여겨질 수 있지만, 단순한 불편함으로 넘기기에는 다양한 원인과 관련된 중요한 신호일 수 있습니다. 손저림은 단순한 혈액순환 장애부터 신경 압박, 만성질환까지 다양한 원인으로 발생합니다. 저도 사무직을 맡으며 의자에 오랜 시간 앉아있게 되면서 자주 경험하기도 했고, 어느 날은 팔꿈치의 골절을 겪고 이후 손저림 증상이 나타나기도 해 불안했던 날도 있었습니다. 그런 저와 같은 경험을 하는 분들에게 불안감을 줄이고 공유할 수 있도록 손저림 원인과 증상, 그리고 효과적인 치료법과 예방법에 대해 자세히 알아보겠습니다.



손저림을 유발하는 주요 원인과 증상
손저림은 신경, 혈관, 근육 등 다양한 신체 부위의 문제로 인해 발생할 수 있으며, 그중 가장 흔한 원인은 신경 압박과 관련이 있습니다. 그 외 손저림을 유발하는 원인과 질환을 세부적으로 나누어 그에 따른 증상의 차이를 함께 정리해 알아보겠습니다.
- 손목터널증후군(수근관증후군)에 의한 말초신경 압박
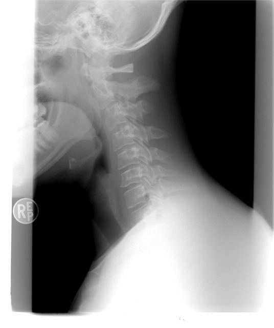
손목의 손목터널을 지나가는 정중신경이 압박을 받아 발생하며, 주로 엄지, 검지, 중지에서 저림 증상이 나타납니다. 밤에 증상과 통증이 심해지는 경향이 있습니다. - 목 디스크(경추 신경병증)에 의한 말초신경 압박
컴퓨터 작업이나 스마트폰 사용이 많을 때 손저림 증상의 발병 위험이 높은 원인으로 목뼈 사이의 디스크가 신경을 눌러 발생합니다. 손과 팔, 어깨까지도 저림 증상을 유발합니다. - 팔꿈치터널증후군(주관증후군)에 의한 말초신경 압박
척골신경이 팔꿈치에서 눌리면서 약지와 새끼손가락에서 저림 증상이 시작됩니다. 팔꿈치를 구부릴 때 증상이 더 심해질 수 있습니다. - 말초신경병증
당뇨병 환자에게 흔히 나타나는 합병증으로, 신경 손상으로 인해 보통 몸에서 가장 먼 부위인 손끝부터 저림이 시작되어 점차 손 전체로 퍼질 수 있습니다. 말초신경의 손상으로 인해 발생합니다. - 혈액순환 장애
혈액순환이 원활하지 않을 경우 손끝까지 산소와 영양분이 제대로 전달되지 않아 손저림 증상이 발생합니다. - 영양소 결핍
비타민 B12 부족이나 칼슘, 마그네슘 등 전해질 불균형은 근육 경직과 신경 압박으로 신경 기능을 저하시켜 손저림 원인이 되기도 합니다. - 만성질환
당뇨병, 갑상선 질환, 류마티스 관절염 등 만성질환도 손저림 원인이 될 수 있습니다. 질환에 따른 동반증상이 다르므로 주의깊은 관찰이 필요합니다. - 레이노병
추위나 스트레스에 노출되면서 손가락이 창백해지고 푸르스름해지며 저리고 얼얼한 느낌이 나는 레이노병은 혈관이 과도하게 수축하면서 손저림 증상이 발생합니다. 혈액순환 장애로 인해 감각이 둔화되거나 통증이 동반되기도 하며, 심한 경우 손끝에 궤양이나 괴사가 생길 수 있습니다. - 스트레스 및 긴장
심리적 스트레스는 근육 긴장을 유발하고 혈액순환을 방해해 손저림 증상이 나타날 수 있습니다. 



| 원인 | 설명 | 주요 증상 | 
| 손목터널증후군 | 손목의 수근관(손목터널)이 좁아져 정중신경이 눌리는 질환. 반복적인 손목 사용이 원인. | 엄지, 검지, 중지 및 손바닥 부위 저림. 밤에 증상이 심하며, 심한 경우 엄지 근육 위축 발생. | 
| 목 디스크 (경추신경병증)  | 
목뼈 사이 디스크가 신경을 눌러 발생. 주로 컴퓨터 작업이나 스마트폰 사용 등으로 인한 자세 문제와 관련. | 목, 어깨, 팔 통증과 함께 손 저림. 한쪽 손에서 주로 발생하며 팔 힘이 약해질 수 있음. | 
| 팔꿈치터널증후군 | 팔꿈치의 척골신경이 압박되어 발생. 팔꿈치를 구부리거나 눌렀을 때 증상이 악화됨. | 약지와 새끼손가락 저림. 심한 경우 손가락 근육 위축 및 갈퀴 모양 변형. | 
| 말초신경병증 | 당뇨병, 만성 신부전, 알코올 중독 등으로 인해 말초신경이 손상된 상태. | 대칭적으로 양손 끝에서 시작되는 저림. 화끈거리거나 바늘로 찌르는 듯한 통증 동반. | 
| 혈액순환 장애 | 혈관 수축이나 혈류 문제로 인해 발생. 레이노병 등이 포함됨. | 손끝 시림과 감각 둔화. 추운 환경에서 증상 악화. | 
| 영양소 결핍 | 비타민 B12, 칼슘, 마그네슘 등 신경 기능 유지에 필요한 영양소 부족으로 발생. | 손발 저림과 함께 피로감, 근육 경련 동반 가능. 심할 경우 신경 손상으로 이어질 수 있음. | 
| 만성질환 | 당뇨병, 갑상선 질환, 류마티스 관절염 등 만성질환으로 인해 신경과 혈관 기능이 저하됨. | 지속적인 손저림과 함께 관절 통증 또는 전신 피로감 동반 가능. | 
| 레이노병 | 추위나 스트레스로 인해 말초혈관이 과도하게 수축하여 혈액순환 장애를 일으킴. | 손가락 색 변화(창백 → 청색 → 붉은색), 저림, 따끔거림, 심한 경우 궤양이나 괴사 발생 가능. | 
| 스트레스 및 긴장 | 심리적 스트레스와 긴장이 근육 긴장을 유발하고 혈액순환을 방해하여 발생. | 손끝 저림과 함께 어깨 결림 또는 두통 동반 가능. | 
| 척골관증후군 | 손목의 척골신경이 압박되어 발생. 자전거 핸들 등으로 손바닥을 오래 누르는 행동이 원인일 수 있음. | 약지와 새끼손가락 및 손바닥 일부 저림. 밤에 통증 심화, 심한 경우 갈고리 모양 변형 가능. | 
| 중추신경계 이상 (뇌졸중)  | 
뇌졸중이나 중추신경계 손상으로 인해 발생. | 한쪽 손만 저림. 언어 장애나 반신마비 등의 다른 증상 동반 가능. | 



손저림과 관련된 질환과 동반증상
손저림과 관련된 동반 증상이 문제가 되는 이유는, 단순히 손의 감각 이상으로 끝나는 것이 아니라 특정 질환의 초기 신호일 수 있기 때문입니다. 동반 증상은 손저림 원인을 파악하고 조기 치료를 결정하는 데 중요한 단서를 제공합니다. 손저림에 관련된 질환과 그에따른 동반 증상을 함께 알아보겠습니다.
- 뇌졸중
손저림이 한쪽에만 나타나고 언어장애, 근력 저하, 보행 장애, 어지럼증 등이 동반되면 뇌졸중의 초기 신호일 수 있습니다. 조기 치료하지 않으면 생명에 위협이 될 수 있습니다. - 당뇨병
지속적인 손저림과 함께 발 저림, 감각 둔화가 나타난다면 당뇨병성 신경병증을 의심해야 합니다. 적절히 관리하지 않으면 신경 손상과 합병증으로 이어질 수 있습니다. - 말초신경병증, 말초신경 손상 가능성
손저림과 함께 힘 빠짐, 근력약화로 인해 물건을 잡기가 힘들어지고 근육 위축이 나타날 경우 말초신경병증이 원인일 수 있습니다. 특히 당뇨병 환자에게 흔하며, 방치하면 팔다리 전체로 저림이 퍼지고 일상생활에 지장을 줄 수 있습니다. - 레이노병, 혈액순환 장애
손저림과 함께 손끝이 하얗게 변하거나 시림 증상이 나타나면 혈액순환 장애를 의심할 수 있습니다. 추운 환경에서 증상이 악화되며, 방치 시 조직 괴사 등의 합병증이 발생할 수 있습니다. 손저림과 함께 어지럼증이나 피로감이 동반되기도 합니다. - 갑상선 기능 저하증
손저림과 함께 피로감, 체온 저하가 나타나면 갑상선 문제를 의심할 수 있습니다. - 류마티스 관절염
관절 염증으로 인해 신경이 눌리거나 혈액순환이 방해받아 손저림이 나타날 수 있습니다. 



언제 병원을 방문해야 할까?
질환에 따른 동반증상이 나타나거나 아래와 같은 경우에는 전문의 상담 없이 방치하면 상태가 악화될 가능성이 있으므로 병원을 방문하여 정확한 진단을 받고 조기에 대처하는 것이 중요합니다.
- 저림 증상이 지속적으로 악화될 때
 - 한쪽 손만 지속적으로 저릴 때
 - 통증이나 근력 약화가 동반될 때
 - 일상생활에 지장을 줄 정도로 심각할 때
 
손저림에 대한 효과적인 치료법 이해하기
손저림 치료법은 손저림 원인과 진행정도에 따라 다르게 적용됩니다.
- 약물 치료
염증 완화를 위한 소염제나 신경 안정제를 처방받을 수 있습니다. - 물리치료 및 재활치료
전문 물리치료를 통해 근육 긴장을 완화하고 혈액순환을 개선할 수 있습니다. - 수술적 치료
심한 경우에는 신경 압박을 해소하기 위해 수술적 치료가 필요합니다. 손목터널증후군이나 경추 디스크 같은 구조적 문제가 있는 경우 횡수근 인대를 절개하는 수술로 신경 압박을 해소할 수 있습니다. - 침술 및 한방 치료
침술은 근육 긴장을 완화하고 혈액순환 개선 및 통증 완화에 도움이 될 수 있습니다. - 생활습관 개선
전문가와 상담 후 개인 맞춤형 운동 및 식단 계획을 세우는 것도 중요합니다. 자세 교정과 스트레칭 운동을 통해 증상을 완화하고 재발을 예방할 수 있습니다. 



손저림 예방을 위한 올바른 습관 만들기
손저림 예방은 작은 습관 변화에서 시작됩니다. 손저림 예방과 완화를 위해 일상에서 다음 방법들을 자주 실천해 생활화해 보세요.
- 스트레칭 및 운동
규칙적인 운동으로 근력을 강화하고 혈액순환을 촉진하세요. 하루 10분 정도 손목과 팔 스트레칭을 통해 근육 긴장을 완화하고 자주 몸을 움직여주는 것이 좋습니다. - 올바른 자세 유지
컴퓨터 작업이나 스마트폰 사용 시간을 줄이고 컴퓨터 작업 시 키보드와 마우스를 사용할 때 손목을 과도하게 꺾지 않도록 주의해야 합니다. 중간중간 휴식을 취하며 자세를 바로 잡아보세요. - 영양 섭취 관리
적정 체중과 건강한 식습관을 유지하며 만성질환 관리를 철저히 하세요. 비타민 B12가 풍부한 음식(계란, 생선 등)과 칼슘, 마그네슘이 풍부한 음식을 섭취해 전해질 균형을 유지하는 것이 도움이 됩니다. - 온열 요법
따뜻한 찜질팩이나 온수에 손을 담그는 것은 혈액순환 개선에 효과적입니다. 



손저림은 단순히 지나가는 불편함일 수도 있지만, 건강 상태를 되돌아보는 중요한 신호일 수도 있습니다. 손저림 원인을 정확히 파악하고 적절한 치료와 예방 방법을 실천해 더 건강하고 편안한 일상을 만들어 보세요.
가슴이 뻐근한 증상, 위치에 따른 원인 총정리
많은 분들이 경험하시는 가슴이 뻐근한 증상은 흔히 경험할 수 있는 불편함이지만, 단순한 근육통부터 심각한 심혈관 질환까지 다양한 원인으로 발생할 수 있어 주의가 필요합니다. 이 글에서
tip3ag.sosimtokki.co.kr
고혈압에 좋은 음식, 건강한 혈압 관리를 위한 식단 가이드
오늘은 우리 건강에 정말 중요한 주제인 고혈압에 좋은 음식에 대해 이야기해보려고 합니다. 고혈압은 현대인들에게 흔히 발생하는 만성질환으로, 심장병과 뇌졸중 같은 심각한 합병증의 주요
tip3ag.sosimtokki.co.kr